+918042756101
Currently it only shows your basic business info. Start adding relevant business details such as description, images and products or services to gain your customers attention by using Boost 360 android app / iOS App / web portal.

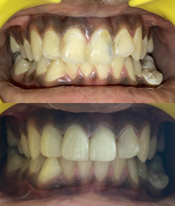
perfect smile in Teppakulam.
View Details
Children’s Dental Care in woraiyur
View Details
best Dental Clinic in kk nagar
View Details
Orthodontics in annamalai nagar
View Details
Do you offer dental care for children? Absolutely!...
View Details
Dentist in Ariyalur
View Details
best dental Clinic in woraiyur
View Details
Dental Clinic in kk nagar
View Details