+918042756101
Currently it only shows your basic business info. Start adding relevant business details such as description, images and products or services to gain your customers attention by using Boost 360 android app / iOS App / web portal.

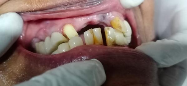
Oral Hygiene in Thottiyam
View Details
Oral hygiene in woraiyur
View Details
Dental Hygiene in Salem
View Details
Best Care Dental Clinic in Srirangam.
View Details
Best Dental Clinic in Trichy.
View Details
Best Dental Clinic in Trichy.
View Details
cosmetic dentistry in Trichy saikrupa dental the d...
View Details
teeth cleaning Trichy saikrupa dental the dentists...
View Details