+918042756101
Currently it only shows your basic business info. Start adding relevant business details such as description, images and products or services to gain your customers attention by using Boost 360 android app / iOS App / web portal.

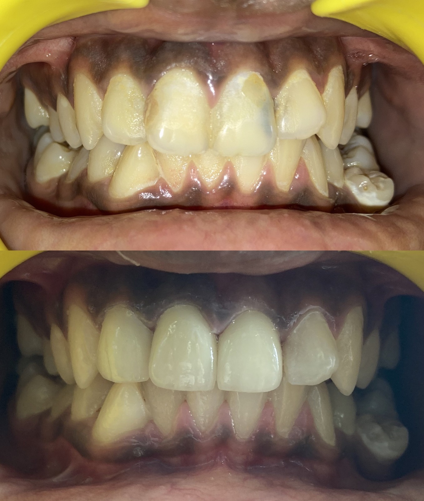
dental clinic in Crawford for professional and affordable oral care? Sai Kriuba is your trusted destination for advanced dental treatments, experienced dentists, and a comfortable patient experience. Maintaining good oral health is essential not just for a beautiful smile but also for overall well-being.